

骨粗鬆症の詳しい症状
① いつの間にか骨折
ある日、突然背中が痛くなった!
という時には可能性があります。
骨が脆くなり、体重を支えきれず
背骨が折れてしまう。
【脊椎圧迫骨折】
という病気です。
一度折れると痛みが続き
なかなか完全には無くならない
厄介な骨折です。

② 慢性的な腰痛

骨粗鬆症になると
様々な部分の骨が脆くなります。
背骨のみならず骨盤、腕、足
全ての骨が弱くなり
結果として慢性的な腰痛や
他の部分の痛みが出現します。
また骨折しやすくなるため
慢性的腰痛が悪くなる
ことも多くあります。
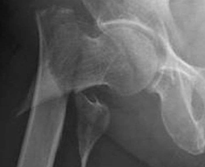
③ 大腿骨の骨折

普通であれば問題ない軽い転倒。
骨粗鬆症の方は大きな骨折に
繋がってしまいます…
大腿骨という足の骨が
写真のようにバキッと
折れてしまうことがあります。
こうなると歩くことができず
ほぼ確実に手術が必要になります。
手術しても歩く能力は落ちて
杖をつくことが多くなります。
④ 手関節の骨折

普通であれば問題ない軽い転倒。
骨粗鬆症の方は大きな骨折に
繋がってしまいます…
大腿骨という足の骨が
写真のようにバキッと
折れてしまうことがあります。
こうなると歩くことができず
ほぼ確実に手術が必要になります。
手術しても歩く能力は落ちて
杖をつくことが多くなります。

☎︎ 06-6535-9550
大阪府大阪市西区新町4-6-23
2F クリニックモール
駐車場25台完備・120分無料
受付時間 | 月 | 火 | 水 | 木 | 金 | 土 |
9:00~12:00 | ⚫︎ | ⚫︎ | ⚫︎ | ⚫︎ | ⚫︎ | ☆ |
15:30~18:30 | ⚫︎ | ⚫︎ | ⚫︎ | × | ⚫︎ | × |
休診日 :第2.4週土曜日・日・祝
☆:土曜午前受付時間 9:00~13:00
13:00~15:00(完全自費・予約制リハビリ)
SITE MAP
・整形外科コラム